

Dental implants
Dental implants
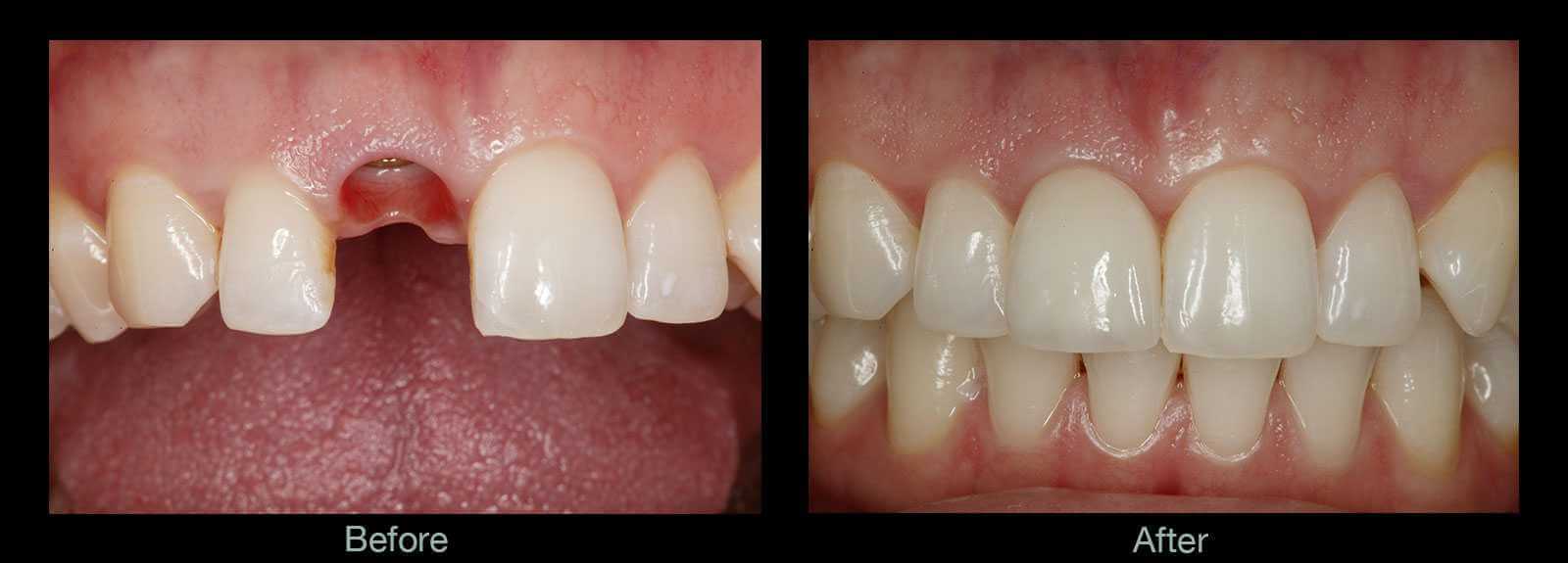
Dental implants are like artificial roots of teeth which are placed into the jaw. Dental implants gives support for crowns, bridges and removable dentures. This is a wonderful solution, because we can implant the artificial root into the place of the lost tooth thus after healing it can take over the original function. Usually it is hard to tell the difference between the original tooth and the implant supported crowns.
Advantages of Dental Implant
·Eat Better
·Speak Better
·Look Better
·Feel Better
·Tooth Saving
·Gives Confidence
·Reliable
·Replacing A Single Tooth
·Replacing Several Teeth
·Replacing All Of Your Teeth
Pre And Post Operative Instruction
We usually advice the patients to have their teeth cleaned, scaled and polished cavities filled, infected roots removed, acute gingival inflammations managed prior to the operation.
Following the implant surgery it is normal to anticipate some pain and swelling of the face in the first three days. Bruising could also be normal. Regular painkillers might be necessary. We recommend our patients to keep the affected region be cold by icebags. If we have to remove stiches usually do it in 7-10 days after the operation.
The most important thing is dental hygiene. You have to pay attention on even more from this time. You may need special tools (like floss, or thin brush that goes between the crowns) according to the type of solution.Your dentist will explain and show you how to clean your new teeth on the day of fitting.
In the manner of long term use of your new teeth, it is adviced to appear on regular check up in every 6-12 months.
The long term success of implant based crowns / bridges mostly depends on you and the carried out hygiene. The dentist's responsibility lasts till the fitting.
To avoid any inflamation around the implants, perfect mouth hygiene is necessary which is also responsible for rejection of implants.
The Risk Of Implant Surgery
- Most of the implants are placed in local anesthesia, thus with a decent medical history most of the adverse reactions, regarding local anesthetics can be avoided.
- When placing the implants it is theoretically possible to injure neighbouring structures like the inferior dental nerve, the sinus cavity, neighbouring roots. With the right technique and planning these risks are usually minimal.
- Implant rejections are relatively low in approximately 2% of the cases.
- The secret of long term implant survival is the right planning and regular check ups, good oral hygiene.
