

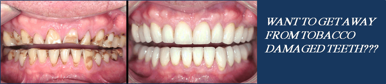
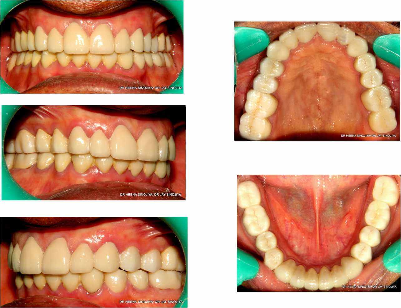
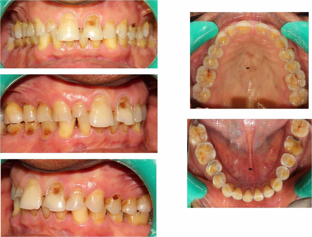
Full mouth rehabilitation
It is the procedure of capping all teeth in the mouth using a systematic approach, step by step procedures and using various instruments. Full mouth rehabilitation creates a smile that is functional, comfortable and beautiful.
We at Lifedent dental hospital use latest instrument that is Corident articulator for preparation of all cap.
Who needs Full mouth rehabilitation??
- Short, worn teeth
- Chipped and broken throughout the mouth
- Loose teeth
- Tobacco chewers whose teeth are reduced in height
- Headache
- Clicking sound in joints
- Pain in neck, shoulder
- Jaw pain
