

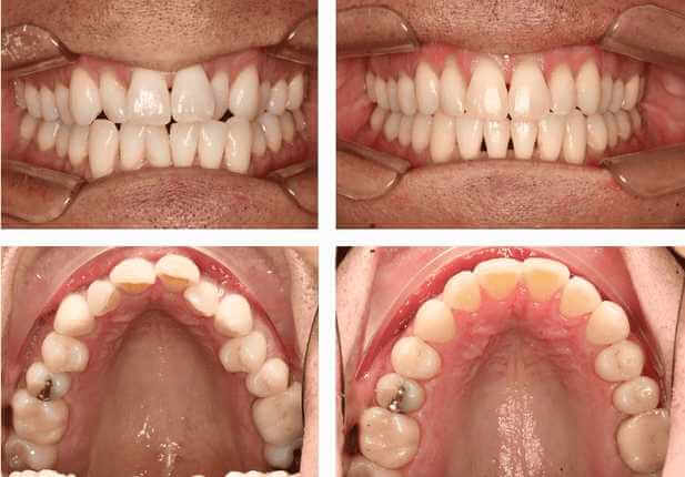
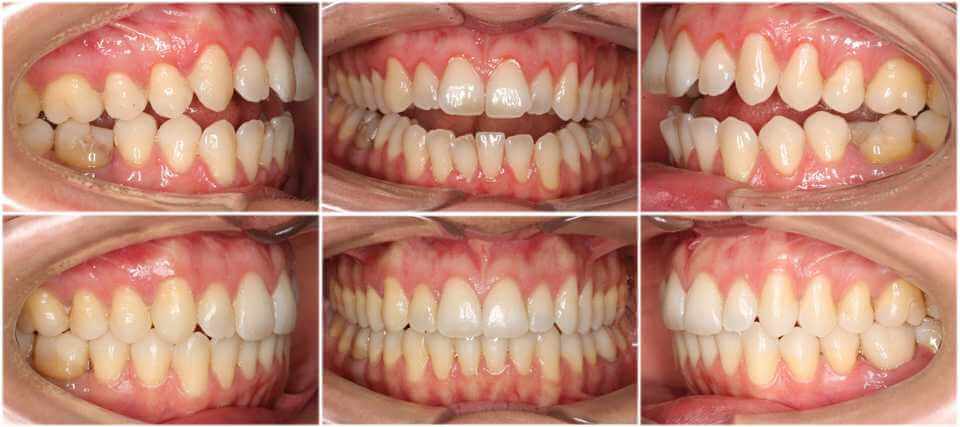
Invisalign
Invisalign is a great solution to achieve a straighter smile without metal braces. They are custom, clear aligners which discreetly accomplish the same results without the appearance of wires and brackets.
Each Invisalign patient receives a series of removable aligners. The aligners, which are virtually invisible, are worn for a period of 1-2 weeks, and then they are replaced by a new set. This process repeats until treatment is complete.
If you have questions about Invisalign or if you’re wondering whether or not you’re a good candidate for this treatment option give us a call at +918866887676 or 02812570277.
Benefits of invisalign
- No metal wires or brackets
- Comfortable.
- Removable - brushing and flossing is no problem.
- Enjoy your favourite foods and smile without holding back.
- Absolutely nothing to hide.
