

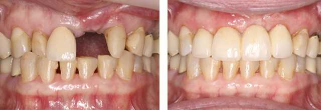
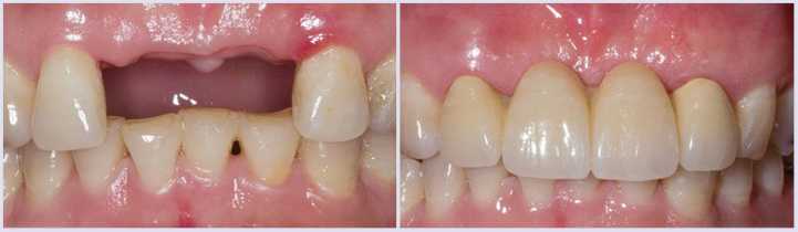
Fixed Ceramic Teeth
- Have you lost your teeth for some time?
- Are you not getting satisfaction while chewing?
- Are you able to chew from one side only?
If yes, then you need good quality fixed (ceramic) teeth. We will give you crown and bridges.
We use the latest direct metal laser sintering(DMLS) technique in the fabrication of the crowns and bridges. DMLS was developed by Elextrolux Rapid Development and the EOS firm of Munich, Germany. We also use the popular and latest zirconium oxide crowns. Zirconium is a very strong substance that can endure wear and tear of everyday use.
We may recommend a crown to:
- Replace a large filling when there isn’t enough tooth remaining
- Protect a weak tooth from fracturing
- Restore a fractured tooth
- Attach a bridge
- Cover a dental implant
- Cover a discolored or poorly shaped tooth
- Cover a tooth that has had root canal treatment
